ECOGRAFIA
SCREENING DEL PRIMER TRIMESTRE
SERVICIOSCREENING DEL PRIMER TRIMESTRE
PRESENTACIÓNECOGRAFIA
CONDICIÓNINDICACIONES: SE REALIZA ENTRE LAS 12 Y 13 SEMANAS CON 6 DIAS DE GESTACION.
TIEMPO20 MINUTOS
TIPO RESULTADOSIMAGENES ECOGRAFICAS
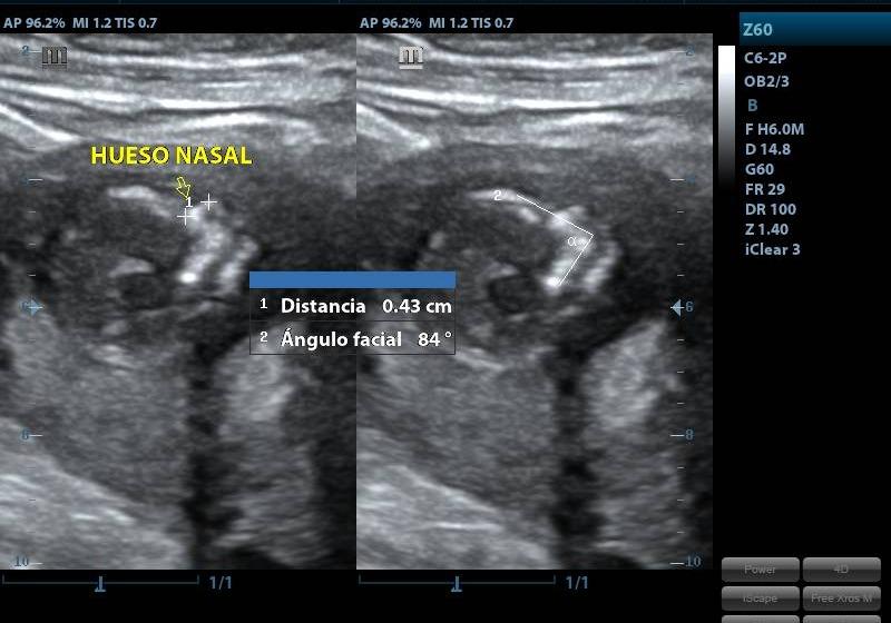
ESPECIFICACIONESLONGITUD DEL FETO CORONOCAUDAL (LCC) LIQUIDO AMNIOTICO FRECUENCIA CARDIACA FETAL (LCF) DESCARTAR CROMOSOMOPATIAS MEDICION TRANSLUCENCIA NUCAL (TN) PRESENCIA Y MEDICION DE HUESO NASAL ANGULO MAXILOFACIAL PARTES FETALES DIAFRAGMA EVALUACION CAMARA CARDIACA EVALUACION COLUMNA VERTEBRAL FLUJOMETRIA DOPPLER ARTERIAS UTERINAS (PREVENTOR PREECLAMPSIA) DUCTUS VENOSO UBICACIÓN DE PLACENTA, DESCARTAR HEMATOMAS O DESPRENDIIENTOS INSERCION DE CORDON UMBILICAL
SCREENING DEL SEGUNDO TRIMESTRE
SERVICIOSCREENING DEL SEGUNDO TRIMESTRE
PRESENTACIÓNECOGRAFIA
CONDICIÓNINDICACIONES: SE REALIZA ENTRE LAS 20 Y 24 SEMANAS DE GESTACION.
TIEMPO40 MINUTOS
TIPO RESULTADOSIMAGENES ECOGRAFICAS
ESPECIFICACIONESSE ESTUDIA: BIOMETRIA FETAL DIAMETRO BIPARIETAL (DBP) CIRCUNFERENCIA CEFALICA (CC) CIRCUNFERENCIA ABDOMINAL (CA) LONGITUD DE FEMUR (LF) LONGITUD HUMERO (LH) SITUACION Y POSICION FETAL UBICACIÓN Y MADUREZ DE PLACENTA CANTIDAD DE LIQUIDO AMNIOTICO (ILA) SEMANAS DE GESTACION PESO FETAL SEXO FRECUENCIA CARDIACA FETAL (LCF) OBSERVACION MOVIIENTO FETAL ESTUDIO ANATOMICO FETAL ESTOMAGO, PULMONES, VEJIGA, RIÑONES EVALUACION DIAFRAGMA ESTUDIO CORAZON (4 CAMARAS CARDIACAS, VALVULAS, FLUJO SANGUINEO) CABEZA FETAL (CEREBELO, CSP, VENTRICULOS LATERALES, CISTERNA MAGNA, FOSA POSTERIOR, ETC) CARA FETAL (ORBITAS OCULARES, CRISTALINO, HUESO NASAL, LABIOS, NARIZ OBSERVACION COLUMNA VERTEBRAL Y EXTREMIDADES FLUJOMETRIA DOPPLER ARTERIAS UTERINAS (PREVENTOR PREECLAMPSIA) ARTERIA CEREBRAL MEDIA (ACM) ARTERIA UMBILICAL RELACION CEREBROPLACENTARIA.
SCREENING DEL TERCER TRIMESTRE
SERVICIOECOGRAFIA
PRESENTACIÓNECOGRAFIA
CONDICIÓNDesde las 32 semanas hasta las 35 semanas
TIEMPO40 MINUTOS
TIPO RESULTADOSIMAGENES ECOGRAFICAS
ESPECIFICACIONESSEGUIMIENTO DE ANATOMIA Y/O HALLAZGOS PATOLOGICOS DEL SCREENING DEL SEGUNDO TRIMESTRE
ECOGRAFIA OBSTETRICA
SERVICIOECOGRAFIA
PRESENTACIÓNECOGRAFIA
CONDICIÓNINDICACIONES: SE REALIZA A PARTIR DE 13 SEMANAS DE GESTACION HASTA FINALIZACION DEL EMBARAZO.
TIEMPO15 MINUTOS
TIPO RESULTADOSIMAGENES ECOGRAFICAS
ESPECIFICACIONESVIA VAGINAL INFERIORES A LAS 7 SEMANAS VIA ABDOMINAL DESDE LAS 7 SEMANAS SE ESTUDIA: BIOMETRIA FETAL DIAMETRO BIPARIETAL (DBP) CIRCUNFERENCIA CEFALICA (CC) CIRCUNFERENCIA ABDOMINAL (CA) LONGITUD DE FEMUR (LF) SITUACION Y POSICION FETAL UBICACIÓN Y MADUREZ DE PLACENTA CANTIDAD DE LIQUIDO AMNIOTICO (ILA) SEMANAS DE GESTACION PESO FETAL SEXO FRECUENCIA CARDIACA FETAL (LCF) OBSERVACION MOVIIENTO FETAL
ECOGRAFIA OBSTETRICA 3D
SERVICIOECOGRAFIA
PRESENTACIÓNECOGRAFIA
CONDICIÓNCUALQUIER EDAD GESTACIONAL
TIEMPO20 MINUTOS
TIPO RESULTADOSIMAGENES ECOGRAFICAS
ESPECIFICACIONESIMAGEN TRIMIDENCIONAL DEL FETO SE ESTUDIA BIOMETRIA FETAL ILA VALORACION PLACENTA LATIDOS CARDIACOS FETALES
ECOGRAFIA OBSTETRICA 4D
SERVICIOECOGRAFIA
PRESENTACIÓNECOGRAFIA
CONDICIÓNCUALQUIER EDAD GESTACIONAL
TIEMPO20 MINUTOS
TIPO RESULTADOSIMAGENES ECOGRAFICAS
ESPECIFICACIONESIMAGENES TRIDIMENCIONALES EN TIEMPO REAL IMAGEN TRIMIDENCIONAL DEL FETO SE ESTUDIA BIOMETRIA FETAL ILA VALORACION PLACENTA LATIDOS CARDIACOS FETALES
ECOGRAFIA OBSTETRICA 5D
SERVICIOECOGRAFIA
PRESENTACIÓNECOGRAFIA
CONDICIÓNCUALQUIER EDAD GESTACIONAL
TIEMPO20 MINUTOS
TIPO RESULTADOSIMAGENES ECOGRAFICAS
ESPECIFICACIONESIMAGEN TRIDIMENSIONAL EN TIEMPO REAL MEJOR NITIDEZ IMAGEN TRIMIDENCIONAL DEL FETO SE ESTUDIA BIOMETRIA FETAL ILA VALORACION PLACENTA LATIDOS CARDIACOS FETALES
ECOGRAFIA OSTETRICA DOPPLER/FETAL COLOR
SERVICIOECOGRAFIA
PRESENTACIÓNECOGRAFIA
CONDICIÓNINDICACIONES: A PARTIR DE LAS 20 SEMANAS DE GESTACION.
TIEMPO25 MINUTOS
TIPO RESULTADOSIMAGENES ECOGRAFICAS
ESPECIFICACIONESSE ESTUDIA: BIOMETRIA FETAL DIAMETRO BIPARIETAL (DBP) CIRCUNFERENCIA CEFALICA (CC) CIRCUNFERENCIA ABDOMINAL (CA) LONGITUD DE FEMUR (LF) SITUACION Y POSICION FETAL UBICACIÓN Y MADUREZ DE PLACENTA CANTIDAD DE LIQUIDO AMNIOTICO (ILA) SEMANAS DE GESTACION PESO FETAL SEXO FRECUENCIA CARDIACA FETAL (LCF) OBSERVACION MOVIIENTO FETAL FLUJOMETRIA DOPPLER ARTERIAS UTERINAS (PREVENTOR PREECLAMPSIA) ARTERIA CEREBRAL MEDIA (ACM) ARTERIA UMBILICAL RELACION CEREBROPLACENTARIA. DUCTUS VENOSO
ECOGRAFIA DE MAMAS
SERVICIOECOGRAFIA
PRESENTACIÓNECOGRAFIA
CONDICIÓNNO REQUIERE PREPARACION PREVIA
TIEMPO20 MINUTOS
TIPO RESULTADOSIMAGENES ECOGRAFICAS
ESPECIFICACIONESes una prueba de imagen no invasiva que detecta lesiones o tumores que la mamografía no distingue. Se trata de una técnica que utiliza ultrasonidos y que en ningún caso sustituye a la mamografía de chequeo sino que presenta una alternativa a la radiación de la mamografía en mujeres jóvenes y en embarazadas.
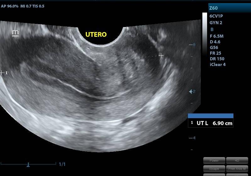
ECOGRAFIA ENDOVAGINAL
SERVICIOECOGRAFIA
PRESENTACIÓNECOGRAFIA
CONDICIÓNNO REQUIERE PREPARACION PREVIA
TIEMPO20 MINUTOS
TIPO RESULTADOSIMAGENES ECOGRAFICAS
ESPECIFICACIONESSE ESTUDIA: UTERO ANEXOS OVARIOS IMPLANTACION SACO GESTACIONAL VESICULA VITELINA LONGITUD DE EMBRION (LCC) PRESENCIA DE LATIDOS CARDIACOS OBSERVACION REACCION CORIODECIDUAL, DESCARTAR: HEMATOMAS. MIOMAS QUISTES TUMARACION
ECOGRAFIA DE TIROIDES
SERVICIOECOGRAFIA
PRESENTACIÓNECOGRAFIA
CONDICIÓNNO REQUIERE PREPARACION PREVIA
TIEMPO20 MINUTOS
TIPO RESULTADOSIMAGENES ECOGRAFICAS
ESPECIFICACIONESLa ecografía proporciona información morfológica general: presencia del órgano, posición, tamaño, forma, contornos, bordes y morfológica específica: ecogenicidad y ecoestructura de la glándula y de los nódulos cuando éstos están presentes
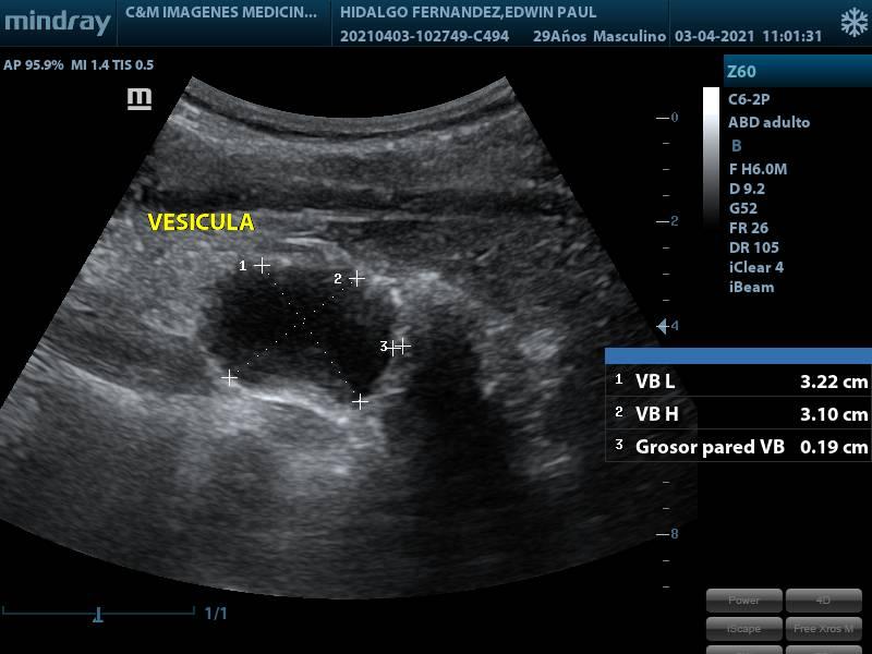
ECOGRAFIA ABDOMEN SUPERIOR
SERVICIOECOGRAFIA
PRESENTACIÓNECOGRAFIA
CONDICIÓNEN AYUNA
TIEMPO20 MINUTOS
TIPO RESULTADOSIMAGENES ECOGRAFICAS
ESPECIFICACIONESSE ESTUDIA: HIGADO PANCREAS VESICULA BILIAR RIÑONES BAZO VIAS BILIARES
ECOGRAFIA ABDOMEN INFERIOR
SERVICIOECOGRAFIA
PRESENTACIÓNECOGRAFIA
CONDICIÓNAYUNAS VEJIGA LLENA
TIEMPO20 MINUTOS
TIPO RESULTADOSIMAGENES ECOGRAFICAS
ESPECIFICACIONESSE ESTUDIA: apéndice vejiga hombres prostata mujeres utero y anexos.
ECOGRAFIA ABDOMEN TOTAL
SERVICIOECOGRAFIA
PRESENTACIÓNECOGRAFIA
CONDICIÓNEN AYUNAS, VEJIGA LLENA 1LT DE AGUA 30 MIN. PREVIO AL EXAMEN.
TIEMPO20 MINUTOS
TIPO RESULTADOSIMAGENES ECOGRAFICAS
ESPECIFICACIONESSE ESTUDIA: HIGADO PANCREAS VESICULA BILIAR RIÑONES BAZO HOMBRES: VEJIGA PROSTATA MUJERES: VEJIGA UTERO ANEXOS OVARIOS
ECOGRAFIA PARTES BLANDAS
SERVICIOECOGRAFIA
PRESENTACIÓNECOGRAFIA
CONDICIÓNNO REQUIERE PREPARACION PREVIA
TIEMPO20 MINUTOS
TIPO RESULTADOSIMAGENES ECOGRAFICAS
ESPECIFICACIONESSE ESTUDIA: MAMAS TIROIDES CUELLO ABDOMEN INGLE
ECOGRAFIA RENAL
ECOGRAFIA TESTICULAR
SERVICIOECOGRAFIA
PRESENTACIÓNECOGRAFIA
CONDICIÓNPRESENTARSE CON ROPA LIGERA
TIEMPO10 MINUTOS
TIPO RESULTADOSIMAGENES ECOGRAFICAS
ESPECIFICACIONESUTILIZA ONDAS SONORAS REFLEJADAS PARA PRODUCIR UNA IMAGEN DE LOS TESTÍCULOS Y EL ESCROTO. ESTA PRUEBA PUEDE MOSTRAR EL TUBO LARGO Y FUERTEMENTE ENROLLADO QUE ESTÁ DETRÁS DE CADA TESTÍCULO Y QUE RECOLECTA LOS ESPERMATOZOIDES (EPIDÍDIMO). TAMBIÉN PUEDE MOSTRAR EL TUBO (CONDUCTO DEFERENTE) QUE CONECTA LOS TESTÍCULOS CON LA PRÓSTATA. LA ECOGRAFÍA NO USA RADIOGRAFÍAS NI OTRO TIPO DE RADIACIÓN.
