RADIOGRAFIA 2D
PANORAMICA PLUS
SERVICIOTOMA RADIOGRAFICA
PRESENTACIÓNACETATO
CONDICIÓNSIN CONDICION PREVIA
TIEMPO15 MINUTOS
TIPO RESULTADOSIMAGEN RADIOGRAFICA
ESPECIFICACIONESPanoramica plus (invertir el contraste ) podemos observar mejor las estructuras dentarias y osea de esta radiografia
PANORAMICA
SERVICIOTOMA RADIOGRAFICA
PRESENTACIÓNACETATO
CONDICIÓNSIN PREPARACION PREVIA
TIEMPO15 MINUTOS
TIPO RESULTADOSIMAGEN RADIOGRAFICA
ESPECIFICACIONESLa radiografía panorámica es una técnica radiológica que muestra las estructuras óseas (los maxilares, la articulación de la mandíbula y los dientes) en una sola imagen general.
LATERAL DE CRANEO
SENOS PARANASALES
CARPAL
ATM-2D
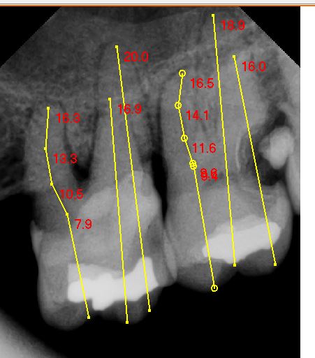
PERIAPICAL PLUS
PERIAPICAL DIGITAL
SERIE PERIAPICAL
ANTEROPOSTERIOR
TRAZADO CEFALOMETRICO
PANORAMICA DIGITAL
